Trinucleotide Repeat Disease

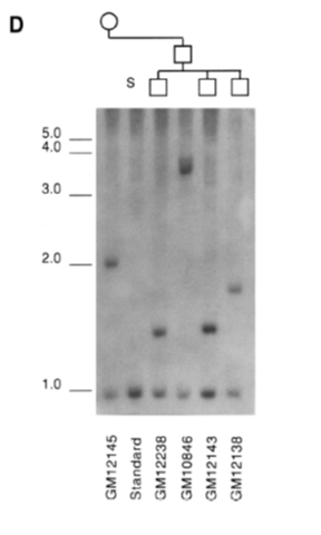
SCA8 expansion in CEPH control pedigree (from Vincent et al, 2000)

Following the discovery of trinucleotide repeat expansion mutations as the cause of Huntington’s disease, myotonic dystrophy, Friederich’s ataxia and a number of spinocerebellar ataxias in the early 1990s, it was noted that this newly discovered disease mechanism was the likely mechanism of anticipation in families affected by these diseases. Anticipation is the observed phenomenon of increased severity and decreased age of onset in successive generations. Anticipation has also been reported in psychiatric disorders such as schizophrenia and bipolar disorder for well over a century (Morel, 1857; Mott, 1911). Despite reservations concerning numerous biases in the observation of anticipation (e.g. Penrose, 1948), a number of groups researching the genetics of these disorders embarked on studies to  establish whether trinucleotide repeat expansion could potentially be a disease mechanism. Initial studies seemed to support this, but our own research cast doubt on these findings. Generally, the accepted view is that large trinucleotide repeat expansions are not a major cause or risk factor in schizophrenia or bipolar disorder. However, technical limitations of the research prevent us from dismissing all forms of unstable repeats, and smaller repeats, from playing a role.  Next generation sequencing may soon see a revisiting of these issues.

During this period of research, my work and that of several other groups, identified three loci in the human genome that contain large unstable CAG/CTG repeat stretches present in pyschosis patients and in healthy individuals. These are: SEF2-1B, ERDA1 and SCA8. SEF2-1B is located on 18q21.2 in intron 3 of the gene TCF4 (NM_001243226). ERDA1 is located on 17q21.33, in intron 4 of the carbonic anhydrase gene CA10 (NM_001082533). Thirdly, a large CAG/CTG repeat was identified by us in patient with bipolar disorder. This repeat was subsequently reported as SCA8- where expansion was associated with spinocerebellar ataxia (Koob et al, 1999).  The repeat is located upstream of a gene called KLHL1 on 13q21.33, and appears to be in a non-coding antisense RNA, now termed ATXN8OS. However, our work showed clearly that expanded repeats at this locus are present in non-ataxia individuals (Vincent et al, 2000:Vincent_2000_SCA8). The SCA8 findings are still controversial, and even today it is still not understood why there is a dichotomy, in that some expanded alleles appear to cause ataxia and others don’t.

I published a review/discussion of trinucleotide repeats in psychiatric disease: “Unstable repeat expansion in major psychiatric disorders: two decades on, is dynamic DNA back on the menu?” in Psychiatric Genetics (Aug 2016).Unstable DNA_PG_2016. In addition to a historic overview, I have suggested that new technologies such as single molecule real-time (SMRT) sequencing may be applied to assessing known unstable repeats and uncovering new repeats in psychiatric populations, and may yet reveal true association of expanded repeats with psychiatric disorders.

Research Articles

  1. Vincent JB, Neves-Pereira ML, Paterson AD, Yamamoto E, Parikh SV, Macciardi F, Gurling HMD, Potkin SG, Pato CN, Azevedo MH, Kovacs M, Davies M, Lieberman JA, Meltzer HY, Petronis A, Kennedy JL. (2000) An unstable trinucleotide repeat region on chromosome 13 implicated in spinocerebellar ataxia: a common expansion locus. Am J Hum Genet 66: 719-729 PMID:10712198
  2. McInnis MG, Swift-Scanlan T, Mahoney AT, Vincent J, Verheyen GR, Lan TH, Oruc L, Reiss O, Van Broeckhoven C, Chen H, Kennedy JL, MacKinnon DF, Margolis RL, Simpson SG, McMahon FJ, Gershon E, Nurnberger J, DePaulo JR, Ross CA. (2000) Allelic Distribution of CTG18.1 in Caucasian populations: association studies in bipolar disorder, schizophrenia and ataxia. Mol Psychiatry 5: 439-442. PMID:12660801
  3. Bowen T, Guy CA, Cardno AG, Vincent JB, Kennedy JL, Jones LA, Gray M, Sanders RD, McCarthy G, Murphy KC, Owen MJ, O’Donovan MC. (2000) Repeat sizes at CAG/CTG loci CTG18.1, ERDA1 and TGC13-7a in schizophrenia. Psychiatric Genet 10: 33-37. PMID:10909126
  4. Pato CN, Macedo A, Ambrosio A, Vincent JB, Bauer A, Schindler K, Xu J, Coelho I, Dourado A, Valente J, Azevedo HM, Kennedy JL, Pato MT. (2000) Detection of expansion regions in bipolar families. Am J Med Genet (Neuropsychiatric Genetics) 96: 854-857 PMID:11121196
  5. Vincent JB, Yuan Q-P, Schalling M, Adolfsson R, Azevedo MH, Macedo A, Bauer A, DallaTorre C, Medeiros HM, Pato MT, Pato CN, Bowen T, Guy CA, Owen MJ, O’Donovan MC, Paterson AD, Petronis A, Kennedy JL. (2000) Long repeat tracts at SCA8 in major psychosis. Am J Med Genet (Neuropsychiatr Genet) 96: 873-876 PMID:11121201
  6. Petronis A, Vincent JB, Surh LC, Ashizawa T, Kennedy JL. (2000) Polyglutamine-containing proteins in schizophrenia: an effect of lymphoblastoid cells? Mol Psychiatry 5: 234-236. PMID:10889522
  7. Parikh SV, Vincent JB, and Kennedy JL (1999) Clinical characteristics of bipolar disorder subjects with large CAG/CTG repeat DNA. J Affect Disord 55: 221-224. PMID:10628891
  8. Vincent JB, Petronis A, Strong E, Parikh SV, Meltzer HY, Lieberman J, Kennedy JL (1999) Analysis of genome-wide CAG/CTG repeats, and at SEF2-1B and ERDA1 in schizophrenia and bipolar affective disorder. Mol Psychiatry 4:229-234. PMID:10395212
  9. Vincent JB, Kovacs M, Kroll R, Barr CL and Kennedy JL (1999) Intergenerational CAG repeat expansion at ERDA1 in a family with childhood onset depression, schizoaffective disorder and recurrent major depression. Am J Med Genet (Neuropsychiatr Genet) 88:79-82. PMID:10050972
  10. Vincent JB, Kalsi G, Klempan T, Tatuch Y, Sherrington RP, Petronis A, Breschel T, McInnis MG, Brynjolfsson J, Petursson H, Gurling HMD, Gottesman I, Torrey EF, and Kennedy JL (1998) No evidence of CAG or GAA repeats in schizophrenia families and monozygotic twins. Hum Genet 103: 41-47. PMID: 9737774
  11. Gurling HMD, Vincent JB, Bolton P, Melmer G, and Rutter M (1997) Molecular and cytogenetic investigation of the Fragile X region including the Frax A and Frax E CGG trinucleotide repeat sequences in families multiplex for autism and related phenotypes. Hum Hered 47: 254-262. PMID: 9358013
  12. Macedo A, Valente J, Dourado A, Coelho I, Vincent JB, Amprosio A, Sasaki T, Pato CN, Pato MT, Azevedo MH and Kennedy JL (1997) Assessment for unstable DNA in schizophrenia in a Portuguese population: association with anticipation. Psiquitria Clinica 18: 61-67.
  13. Vincent JB, Klempan T, Parikh SV, Sasaki T, Meltzer HY, Sirugo G, Cola P, Petronis A and Kennedy JL (1996) Frequency analysis of large CTG/CAG trinucleotide repeats in schizophrenia and bipolar affective disorder. Mol Psychiatry 1: 141-148. PMID:9118324
  14. Petronis A, Bassett A, Honer W, Vincent JB, Tatuch Y, Sasaki T, Ying D-J, Klempan T, and Kennedy J (1996) Search for Unstable DNA in Schizophrenia Families with Evidence for Genetic Anticipation. Am J Hum Genet 59: 905-911. PMID:8808607

Review articles/book chapters

  1. Fortune MT, Kennedy JL, Vincent JB. (2003) Anticipation and CAGCTG repeat expansion in schizophrenia and bipolar affective disorder. Curr Psychiatr Reports 5:145-154 PMID:12685994
  2. Vincent JB, Paterson AD, Strong E, Petronis A, Kennedy JL. (2000) The unstable trinucleotide repeat story of major psychosis. Am J Med Genet (Seminars in Medical Genetics) 97: 77-97. PMID:10813808
  3. Vincent JB (1996) Unstable DNA as a possible etiological factor for schizophrenia. In Schizophrenia: Latest Advances in Understanding and Drug Development (Dirks LA, Ed) pp1.1.1-1.1.18 (IBC’s Biomedical Library Series, Southborough, MA).
  4. Vincent JB, Petronis A, and Kennedy JL (1998) Unstable DNA in psychiatric disorders. In Genetics and Psychiatric Disorders (Wahlström, J., Ed), pp 179-192, Wenner-Gren International Symposium (Pergamon Press, Oxford).
  5. Paterson AD, Naimark DMJ, Vincent JB, Kennedy JL, Petronis A. (1998) Genetic anticipation in neurological and other disorders. In Genetic Instabilities and Hereditary Neurological Disorders (Wells, R.D. and Warren, S.T., Eds) pp 413-428, (Academic Press, San Diego).
Scroll to Top